Dentistes Aix- Drs Anne PFITZINGER, Alain COUNAS et Philippe MEYER
Endodontie-Parodontie-Eclaircissement- Implants dentaires - Prothèses esthétiques - Facettes - Orthodontie
23 avenue Victor Hugo, 13100 AIX en PROVENCE
+33 4 42 38 99 19

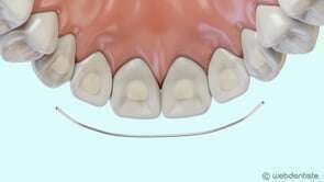
Fil de contention


video-play-icon